파이프라인
EN001
EN001은 이엔셀㈜에서 개발한
샤르코-마리-투스를 위한
동종 탯줄 유래 중간엽 줄기세포 치료제 입니다.
EN001 = 차세대 줄기세포 치료제

- 기존 배양기술
-
- Passage(P) 숫자가 높아질수록 세포 배양 기간이 길어짐
- 배양 기간이 길어지면 세포의 노화가 발생하게 됨
- 노화가 오면 줄기세포능이 떨어지고, 치료 효능이 낮아짐
- 결국 치료 효능이 낮은, 총 세포 수만 맞춘 세포가 생산됨
40일 배양
> 1x10⁹ Cells
임상 기준 최소 세포 필요 수
α일 배양
- EN001 배양기술
-
20일 배양
> 1x10⁹ Cells

기존 배양기술 대비 높은
세포 수율, 배양기간 단축
- DS: Drug substance (원료의약품)
- DP: Drug product (완제의약품)
이엔셀㈜의 독자적인 기술로 만들어진 EN001 치료제는 탯줄에서 분리한 줄기세포입니다.

- 중간엽 줄기세포
-
- 중간엽 줄기세포는 탯줄, 골수, 지방 등의 조직에서 얻어진 성체 줄기세포의 일종입니다.
- 중간엽 줄기세포는 심근경색, 골관절염, 루게릭병, 크론병 등의 치료제로 사용되고 있습니다.
- 국내외 8종의 중간엽 줄기세포가 약제로 개발되어 시판되고 있으며, 높은 안전성을 보이고 있습니다
EN001의 안전성
현재 전세계적으로 판매되고 있는 8종의 줄기세포 치료제와 동일하게 EN001도 중간엽 줄기세포를 이용한 치료제입니다.
전세계에서 진행되는 8,000건 이상의 임상시험을 통해 중간엽 줄기세포 치료제의 안전성이 확인되었으며, 중대한 부작용은 단 1건도 발견되지 않았습니다.
이엔셀㈜이 자체 개발한 EN001은 국가에서 인증받은 시험 기관(KIT)의 철저한 검증을 통하여 안전성이 확인되었으며,
이를 바탕으로 식약처의 엄격한 심사를 통해 임상시험 승인을 획득 (2021.05.04.) 하였습니다.
- 중간엽 줄기세포
- 유일하게 허가 받은 줄기세포 치료제
- 다수의 임상시험으로 안전성 검증
- EN001
- 체내 독성 없음
- 암 형성 없음
샤르코-마리-투스 병
- Charcot-Marie-Tooth disease, CMT
- 샤르코-마리-투스 병은 선천적인 유전병으로 신경 수초의 손상으로 인해 운동기능 및 감각이상이 발생하는 질환입니다.
샤르코-마리-투스 질병의 경과
증상의 발현 시점은 사람마다 다르며, 발과 손의 근육이 점점 위축되고 힘이 약해지며, 감각 소실이 발생합니다.
증상은 일상생활에 문제가 없는 아주 경미한 상태부터 휠체어를 타야 하는 정도까지 다양하게 나타납니다.

샤르코-마리-투스 병이 생기는 원인
현재까지 약 70개의 원인유전자가 밝혀졌으나, 아직도 약 50%의 환자는 원인유전자가 규명되지 않았습니다.
신경이 정상적으로 작동하기 위해서는 수초라고 불리는 지방(지질단백)이 존재해야 합니다.
샤르코-마리-투스 병은 수초의 손상으로 인해 신경이 제대로 기능하지 못해 생깁니다.

정상인

샤르코-마리-투스 (CMT) 환자
샤르코-마리-투스 환자가 겪는 주요 증상은 아래와 같습니다.
임상적 주요 증상
- 하지부터 근육의 쇠약이 시작된다.
- 손발에서 통증이나 온도를 느낄 수 없게 된다.
- 종아리 근육이 줄어든다. (황새 다리 기형)
- 요족 (발바닥 아치가 높아짐)과 망치발가락 (Z 모양으로 구부러진 발가락)
생물학적 주요 증상

신경 수초 손상
(탈수초화)

근육 세포의 소실

근육 재생 저하
샤르코-마리-투스 병 유병인구

국외 140만명국내 약 1만명 추산

2500명 당 1 명0.00004 %
치료방법
현재까지 샤르코-마리-투스 질병의 치료 방법은 아래와 같습니다.
- 발처짐을 막아주는 보조기구
- 물리치료 또는 작업 요법
- 질환의 진행을 줄이는 약물 치료 (예 : 아스코르빈산, PTX3003 등)
최근에는 유전자 교정을 통한 유전자 치료제 임상시험이 시도되고 있습니다.
EN001의 샤르코-마리-투스 병 치료 효과
이엔셀에서 발표한 EN001 : 샤르코-마리-투스 (CMT) 질환 치료제 논문
- 신경 수초 재생 Won et. al., STEM CELLS, 2020
-
- 근육 세포 소실 억제 (항사멸) Kwon et. al., Mol. Ther., 2016
-
- Schwann cell Proliferation and Myelination Oh et. al., Neurobiol. Dis., 2024
-
샤르코-마리-투스 쥐모델인 C3 마우스를 이용한 비임상시험에서 EN001의 치료 효과를 확인하였습니다.
-
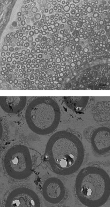
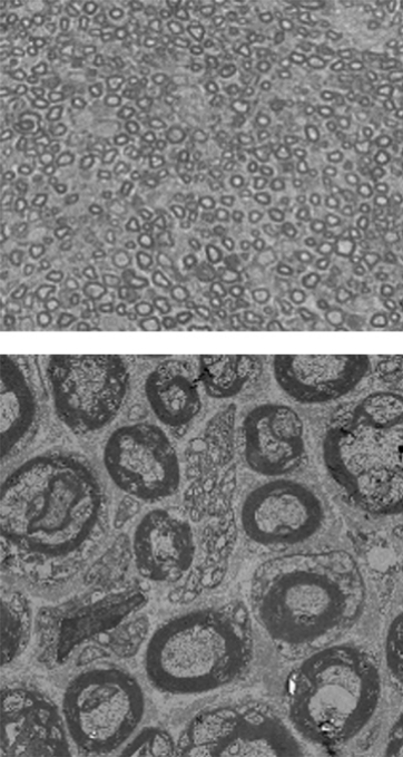
정상 쥐모델
-
샤르코-마리-투스 쥐모델
-
EN001 투여
신경을 감싸고 있는 수초(지질단백)은 사진에서 짙은 회색으로 표시가 되는데
정상 쥐모델보다 CMT 쥐모델에서 수초의 두께가 얇아지고 형태가 불안정한 것을 볼 수 있습니다.
그러나 EN001을 샤르코-마리-투스 쥐모델에 투여하였을 때, 수초의 두께가 두꺼워지고 형태가 건강해진 것을 관찰하였습니다.
-
정상 쥐모델
-
샤르코-마리-투스 쥐모델
-
EN001 투여
또한 근육 조직 내의 건강한 근육 세포는 초록색으로 염색이 되는데,
정상 쥐모델보다 샤르코-마리-투스 쥐모델에서 건강한 근육 세포가 감소해 있는 것을 알 수 있습니다.
그러나 EN001을 샤르코-마리-투스 쥐모델에 투여하였을 때, 건강한 근육 세포가 증가(근육 재생 효과)하는 것을 확인하였습니다.